Products

Total 1건 1 페이지
골절 치료용 체내 AI 의료기기 목록
번호 제목 작성일
1
골절 치료용 체내 AI 의료기기

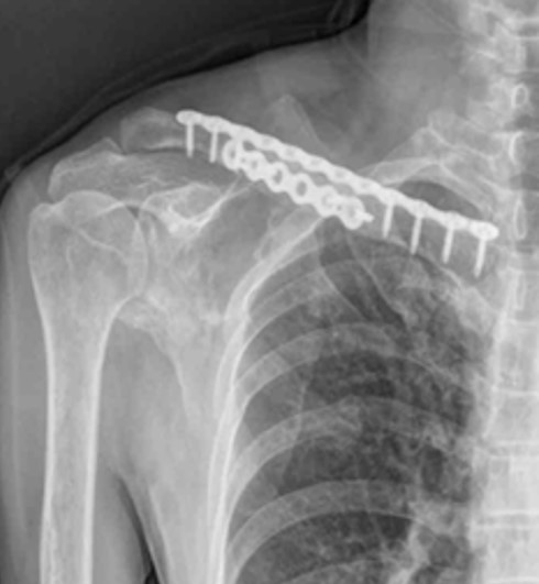
골절 치료는 주로 금속판, 금속정, 금속나사 등 골고정장치를 통한 수술적 치료가 일반적이지만, 이는 뼈의 단순한 연결만 제공할 뿐 실제 재생 속도는 더디어 환자의 일상 복귀에 많은 시간이 소요됩니다.
본 연구에서는 기존 골고정장치와 유연하게 연동될 수 있는 초소형 AI 기반 의료기기를 개발하고 있습니다.
이 기기는 환자의 치유 상태를 실시간으로 모니터링하고, 데이터에 기반한 맞춤형 자극을 제공하여 골재생을 촉진합니다.
이를 통해 추가 수술 없이도 회복 기간을 단축시키고, 환자의 빠른 생활 복귀와 골절치유 분야의 혁신을 선도하고자 합니다.

초기 금속판 이식

불유합 및 금속판 변형

늦은 뼈 재생속도로 인한 금속판 변형 및 재수술